범부처전주기신약개발사업 과제탐방

[과제탐방] [큐리언트] 정체된 결핵 치료제 시장, 새 물꼬 틀 것

  • 2014.03.02
  • 736
정체된 결핵 치료제 시장, 새 물꼬 틀 것
대규모 이머징 마켓 … 새로운 기전으로 미충족 의학적 수요 채운다
 
정체된 결핵치료 시장, 미충족 의학적 수요 ‘막강해’
 
결핵은 전 세계적으로 유행하는 전염병으로, 지속적인 공공 의료 수준 및 관리 체계의 발전에도 불구하고, HIV/AIDS와의 동시 감염과 빠른 다제내성균 및 광범위내성균(MDR: Multi-drug resistant/ XDR: extensively drug resistant)의 등장으로 인해 감염률은 여전히 통제되지 못하고 있다. WHO와 TB alliance의 보고에 따르면 전 세계 인구의 약 1/3인 20억 명이 결핵균에 감염되어 있고, 결핵의 발병으로 2010년 한해만 140만 명이 사망하였다. 질병관리본부의 보고에 따르면 우리나라에서도 법정 감염병 중 결핵이 가장 높은 발생률과 사망률을 보이며, OECD 국가들 중 가장 높은 결핵 발생률과 다제내성 및 광범위내성 결핵 발생률을 보이고 있다.
 
이 같은 발병률에도 결핵은 isoniazid와 같은 경제적 치료제의 존재로 시장성이 확보되지 않아 지난 50년간 신약개발이 이루어지지 않았다. 그러나 최근 결핵 발병율이 높은 중국, 인도, 러시아와 같은 국가의 경제적인 성장으로 인한 시장성의 확보와 서구권 국가들의 다제내성 및 광범위내성 결핵 발병률이 증가되는 추세에 기인하여 신규 결핵 치료제에 대한 필요성이 대두되고 있다.
 
큐리언트 남기연 박사는 “현재는 치료제가 없는 것이나 다름없는 실정이다. 치료제가 없는 시장을 예측하는 것은 힘들다. 결핵치료제 시장과 관련해 발표되는 자료를 보면 1년에 9000억 원 규모로 제시되지만, 거기에는 이머징 마켓이 빠져 있어 실제 시장 규모를 예측한 것으로 보기는 힘들다”고 지적했다.
 
통상 치료제 시장 예측은 미국, 유럽 여러 나라, 일본 등 선진국 위주의 7개 메이저 시장을 규모로 정하지만, 결핵의 경우 러시아, 중국, 인도 등 아직 시장이 정확히 정의돼 있지 않은 이머징 마켓이 대부분이기 때문에 시장규모를 이와 동일한 방법으로는 예측할 수 없다는 것이다. 실제로 러시아는 러시아연방 및 구 소비에트연방지역의 시장 규모만도 3000억 원 정도로 예측하고 있다.
 
11 큐리언트, First-in-Class 도전…치료제시장 판도 변화 예고

‘다제내성/광범위내성 결핵 치료 혁신신약 후보물질 Q203의 비임상 개발’ 과제는 Cytochrome bc1 complex를 저해하는 새로운 작용 기전을 가지며 이는 결핵균의 ATP 합성을 저해하여 결핵균에 대한 강력한 살균 능력을 가지게 하는 First-in-Class 후보 물질이다. 아무도 시도하지 않았던 기전으로, 내성이 생길대로 생긴 결핵균이 한 번도 보지 못한 화합물이다.
 
현재 결핵 치료는 1차 치료와 2차 치료로 나눠 진행되고 있다. 일반적으로는 1차 치료가 기본이다. 그러나 결핵이 주요 이슈인 국가의 경우, 미비한 의료 시스템 및 환자 인식으로 치료가 지속되지 못해 하는 경우가 많아 내성 결핵인 경우가 늘어나면서 2차 치료가 되는 경우가 많다. 그러나 실제 2차 치료제로 쓰이는 것은 결핵에 특화된 약이 아니고 일반 항생제이다. 결핵 같은 경우 길게는 18개월도 복용해야 하는데, 2중 이상 복용은 권장하지 않는 일반 항생제의 사용은 그로인한 부작용 또한 만만치 않은 상황이다.
 
최근 40년 만에 다제내성균 및 광범위내성균에 효과를 보이는 약이 나오긴 했으나, 이는 소규모로 진행된 임상 2상 결과와 미국 FDA로부터 심장독성에 대한 블랙박스 경고 (blackbox warning)와 함께 3상 조건부 승인을 받았다는 한계를 가지고 있다. 남 박사는 “현재는 내성결핵을 직접 잡을 수 있는 결핵용 약은 없다. 그렇기에 부작용을 감수하고서도 항생제를 처방하고, 심장 독성에도 불구하고 승인을 해주는 상황이다”며, “이는 다제내성 및 광범위내성 결핵이 가지는 미충족 의학적 수요를 증명하는 것”이라고 강조했다.
 
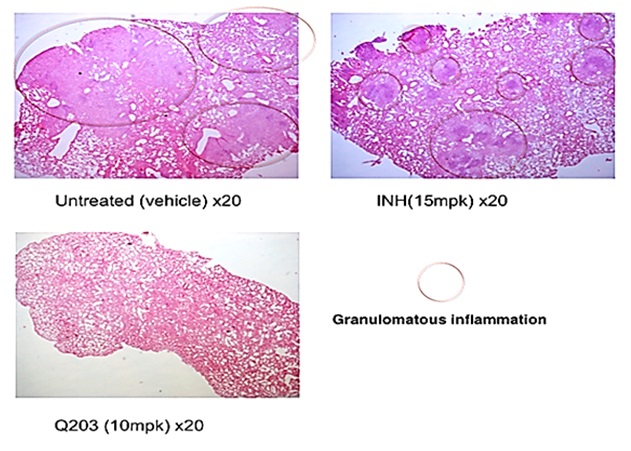
큐리언트 Q203 연구는 이같은 결핵 환자의 2차 치료제를 목표로 연구를 진행 중이다. 만성결핵모델 실험 결과, 낮은 농도에서도 강력한 효과를 보여 적은 투여용량으로 효과적인 치료가 가능할 것으로 예측되고 있다. 환자 분리 균주를 통한 시험에서 다제내성 및 광범위 내성 결핵에 대해서도 강력한 효과를 보였고, 결핵균에 대한 높은 선택성을 가짐으로 장내 세균 사멸에 의한 부작용 또한 최소로 했다.

이 자체로도 막강한 경쟁력을 가지는데, 이에 덧붙여 Q203은 내성결핵뿐 아니라 잠복 결핵까지도 잡을 수 있을 것으로 기대를 모으고 있다. 잠복 결핵까지 치료한다면 결핵의 가장 치명적 위험인 재발률이 없어진다. 남 박사는 “단일질병으로 이런 많은 환자수를 가진 질병은 없을 것”이라며, “한 달 정도 복용하면 증상이 없어지고, 그렇게 되면 환자들이 약을 안 먹어 내성을 만드는 경우가 대부분인데, 잠복 결핵균까지 제어가 된다면 치료기간을 단축하고 환자들의 삶의 질도 개선할 수 있는 결과물이 나올 수 있다”고 설명했다.
 
또한 결핵에서 일어나는 염증 반응에 의한 결절(tubercule) 형성은 결핵의 가장 큰 병리학적 특징으로 치료 후에도 폐 기능 저하에 큰 영향을 미치는데, 동물모델 실험 결과, 감염 후 염증반응 (Post-infection inflammation) 을 줄여 결핵에 의한 폐 손상을 최소화함이 밝혀졌다. 따라서 감염 후 염증반응 감소 효과가 임상에서도 유효할 경우 본 연구는 결핵 치료의 새로운 패러다임을 열 수 있을 것으로 예상된다.
 
남 박사는 “임상에서도 폐 손상을 최소화하는 효과가 입증된다면 환자 삶의 질을 향상시켜 줄 독보적인 경쟁력을 갖추게 되는 것은 물론, 1차 치료제로도 갈 수 있다”고 말했다. 이외에도 Q203은 합성 경로가 짧아 생산 비용이 낮으므로 경제적 비용 절감 효과를 기대할 수 있다. 
 
체계적 지원 부족한 결핵 연구, 국제기구와의 공조로 승부

주요 질병과 관련한 개발 연구 분야가 아닌 결핵치료제 신약개발은 치료제로 시판되기까지 넘어야 될 벽이 많다. 결핵은 전 세계 발생의 55%가 아시아에서, 31%가 아프리카에서 발생하며 인도, 중국, 인도네시아, 남아프리카, 나이지리아의 순으로 발병률이 높다.
 
지난 50년간 결핵은 제3세계 질병으로 인식되어 있었으며, isoniazid와 같은 경제적 치료제의 존재로 시장성이 확보되지 않아 신약개발이 이루어지지 않았다. 그러나 최근 증가하고 있는 다제내성 및 광범위내성 결핵균을 효과적으로 치료할 수 있는 새로운 치료제에 대한 필요성이 대두되고 있으며, 이러한 미충족 의학적 수요는 수년 전까지만 해도 작은 시장으로 여겨졌던 국가들 중 일부가 (중국, 인도, 러시아 등) 경제적으로 성장하고 결핵 발생률이 낮았던 서구권 국가들에서 다제내성 및 광범위내성 결핵의 문제가 생기면서 더욱 주목받고 있다.
 
반면 국내에서는 여전히 관심이 적다. 국내에서 결핵은 매년 국정감사 단골 이슈로만 다뤄지고 있을 뿐이다. 남 박사는 “한국은 OECD 국가들 중 가장 높은 결핵 발생률을 기록하고 있지만, 지원체계는 미미하다”며, “Q203 과제에 대해서도 국내 보다는 국외에서 더 큰 관심을 보이고 있다”고 아쉬움을 전했다.
 
실제로 최근 큐리언트는 러시아 국영펀드가 설립한 맥스웰 바이오텍 벤처펀드(Maxwell Biotech Venture Fund)의 자회사 인펙텍스(Infectex)와 러시아연방 및 구 소비에트연방지역에 대해 Q203의 개발 및 상업화 독점 라이센싱 아웃 계약을 체결함으로 그 존재감을 입증키도 했다.
 
큐리언트는 이 같은 국제 사회의 관심에 초점을 맞춘 마케팅 전략을 고려하고 있다. 남 박사는 “세계 비영리재단들 중 만나지 않은 기관이 거의 없을 정도이며, 결핵 관련한 거의 모든 기관과 CDA가 맺어져 있다”며 과제에 대한 세계의 관심을 설명했다. 꾸준한 접촉의 결과로 이어진 것이 러시아와의 라이센싱 아웃 건이다. 남 박사는 “개발 비용 확보가 제일 큰 관건인 만큼 이번 계약 건을 시작으로 국제기구들과 공조하는 방식의 보다 공격적인 홍보를 해 나갈 계획이다”고 밝혔다.
 
큐리언트 경쟁력, 조직 특성 & 선택과 집중한 pipeline

큐리언트는 네트워크 R&D에 적합하게 디자인 된 회사이다. 사업모델 자체가 연구개발을 다 하는 기관이 아니기에 스스로를 기관이라고 소개했다. 큐리언트의 대표 과제인 Q203이 이를 가장 잘 설명해 준다. Q203은 미래창조과학부와 프랑스 파스퇴르연구소가 공동설립 한 한국파스퇴르연구소의 기술을 큐리언트가 지난 2010년 이전 받아 진행한 것이다. 큐리언트는 이 과제를 잘 성숙시켜 후기 임상단계에서의 라이센싱 아웃을 고려하고 있다. 여러 연구소들에서 초기프로젝트를 가지고 와서 가치가 있을 때까지 잘 성숙시켜 내보내는 모델인 것이다.
 
이 같은 시스템적인 경쟁력을 갖춘 큐리언트는 장/단기 프로젝트로 다가올 10년의 미래를 준비하고 있다. 국내용을 기준으로 한 단기와 글로벌신약을 목표로 한 장기 프로젝트가 그것이다. 남 박사는 “올해 임상을 시작해 늦어도 2-3년 안에 아토피 피부염 치료제를 출시하는 단기 프로젝트를 진행하고 있으며, 장기 프로젝트로는 미충족 의학적 수요가 큰 항암제와 염증치료제 분야에 대한 연구를 진행하고 있다”고 소개했다.
 
큐리언트의 주력 연구 분야가 될 장기 프로젝트는 천식 치료제와 항암제이다. 결핵치료제 시작된 항염증 연구는 천식 프로그램으로 항생제와 항염증을 분리해 내는 것을 발견하면서 시작됐다. 항암제 연구는 First-in-Class 로 약제 내성 암을 대한 약제로, 모두 미충족 의학적 수요가 큰 분야이다. 남 박사는 “두 연구 모두 올해 중에 전임상 진입을 목표로, 현재 물질 도출 최적화 마지막 단계에 있다”고 귀띔했다.
 
남 박사는 ”큐리언트는 시작할 때부터 대부분에 일을 외주를 주었고, 외주에서 해결이 되지 않는 것만 내부에서 했다“며, ”보통 내부에서 하지 못하는 것을 외부에 의탁하는 것과는 반대의 모델로 작지만 경쟁력 있는 조직 구축에 힘썼다“고 설명했다. 이를 통해 초기 투자비용을 줄이고, 연구비 비중을 절대치로 끌어올려 규모 대비 자본 효율성을 최대화 했으며, 더욱 연구 중심적인 연구소로서의 경쟁력 있는 piprline 구축 및 진행에 박차를 가하고 있다.   
 
사업단(또는 정부)에 바란다!!

“범부처신약개발사업단은 국가의 다른 R&D 연구지원 기관들과는 다르게 실제로 과제가 진행되는 상황과 발생되는 여러 이슈에 관심이 많아 좋았다.

그러나 기술료 규정에 대해서는 아쉬움이 있다. 최근 라이센싱 아웃 건이 발생되면서 기술료를 납부하여야 한다는 안내를 받게 됐다. 제약이라는 것은, IT나 타 산업들과는 다르다. 특히 BT분야 중에서도 바이오벤처의 라이센싱은 제조업에서 하는 것과는 성격 자체가 틀리다. 판권을 넘겨준 라이센싱이면 가능하겠지만, 이것은 연구의 가치를 보고 한 라이센싱이다. 이번 성과를 활용하여 다음 단계 연구를 이어갈 동력이 된다. 지원받은 연구가 끝날 때까지 만이라도 기다려 줄줄 알았는데 계약과 동시에 진행되는 기술료 징수에 적잖이 놀랐다.
이는 결국 IT에서 만든 규정을 BT에 그대로 적용하면서 발생되는 어려움이다. 정책을 만드는데 있어서 분야의 특수성을 고려해 주지 않는 점은 매우 아쉬운 점이다.”